부산전체임플란트, 꼭 알아야 할 핵심 정보
치아를 여러 개 또는 전체 상실한 경우, 기능성과 심미성을 동시에 회복할 수 있는 치료 방법으로 전체임플란트가 주목받고 있습니다. 이 글에서는 부산지역에서 전체임플란트를 고려하는 분들을 위해 시술 과정, 장단점, 비용, 선택 기준 등을 정리해드립니다.
1. 부산전체임플란트란?
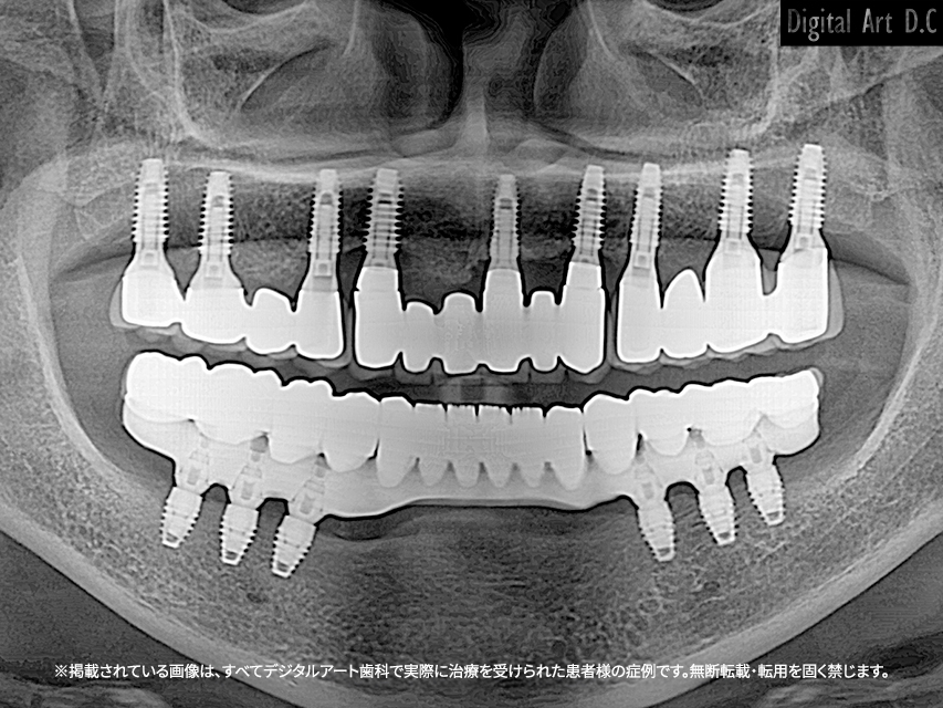
부산전체임플란트는 상악 또는 하악 전체 치아가 상실된 경우, 일정 개수의 임플란트를 식립하여 고정형 보철물을 연결하는 시술입니다. 틀니와 달리 고정형이기 때문에 음식 씹는 기능 회복과 심미적 만족도가 높습니다.
2. 전체임플란트 방식의 종류
- All-on-4 / All-on-6 방식: 4~6개의 임플란트로 전체 보철물을 지지
- 개별 식립 방식: 치아마다 임플란트를 식립 (비용 높음)
- 하이브리드 보철 방식: 고정과 탈착식이 결합된 형태
3. 부산전체임플란트의 장점
- 자연치와 유사한 저작력 제공
- 고정식 보철로 심미성과 편의성 우수
- 턱뼈의 기능적 자극으로 치조골 유지
- 장기적으로 틀니보다 안정성과 만족도 높음
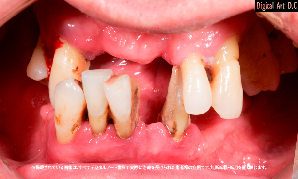
4. 시술 대상
다음과 같은 경우 부산전체임플란트를 고려할 수 있습니다.
- 상악 또는 하악의 치아가 모두 상실된 경우
- 틀니로 인한 통증 또는 불편을 겪는 경우
- 잇몸뼈(치조골)가 일정 수준 이상 유지되어 있는 경우
- 전신 질환이 없어 수술이 가능한 경우
5. 부산전체임플란트 시술 과정
- 초기 상담 및 3D CT 정밀 진단
- 임플란트 식립 및 임시 보철 장착
- 잇몸 회복 기간 (약 2~4개월)
- 최종 보철물 제작 및 장착
6. 주의사항 및 유지관리
- 시술 후 초기 2주간은 부드러운 음식 섭취
- 과도한 압력, 이갈이, 흡연은 피하기
- 정기 검진 및 전문 스케일링은 6개월 단위 권장
- 자가세정 보조도구 (치간칫솔, 워터픽 등) 병행 사용
7. 부산전체임플란트 병원 선택 시 고려할 점
- 디지털 임플란트 시스템 여부 (3D 스캔, 내비게이션 등)
- 임플란트 시술 경험 및 수술 통계
- 전문의 직접 진료 여부
- 시술 전후 증례사진 및 리뷰 확인







